Centro de Diagnóstico Dr. Marcos Corpa

Radiologia contrastada

O exame de raios-X contrastado é indicado para avaliar órgãos e estruturas que precisam de ingestão ou injeção de contraste, tornando-se estes visíveis e permitindo a análise da área examinada.

Dacriocistografia:

- É um exame radiológico que permite a avaliação das vias lacrimais através da injeção do meio de contraste (Lipiodol) e acompanhando o fluxo do mesmo através do canal lacrimal, possibilitando localizar a obstrução.

Esôfago-estômago-duodeno (EED):

- É um exame que avalia a morfologia e a funcionalidade do esôfago, estômago e uma porção do intestino delgado. É indicado principalmente em casos de distúrbios digestivos (Ex: refluxo gastroesofagiano e vômitos).

Neste exame é utilizado o meio de contraste bário que é ingerido pela boca.

Trânsito intestinal:

- Este exame é utilizado, principalmente, para a avaliação de doenças do intestino delgado, diagnosticando causas de má absorção e lesões intestinais.

Em jejum, o paciente irá ingerir o contraste bário, que passará através do intestino delgado, chegando até intestino grosso.

 Enema opaco:

- É um exame que avalia o intestino grosso, através da injeção do meio de contraste bário por via anal. Estuda o funcionamento e a morfologia do intestino grosso e do reto através do contraste baritado e do duplo contraste.

Histerossalpingografia:

- Avalia a permeabilidade tubária e a cavidade uterina, bem como a presença de obstrução ou alterações intrínsecas das tubas e modificações do espaço peritubário.

O contraste iodado é injetado através do orifício externo do colo uterino.

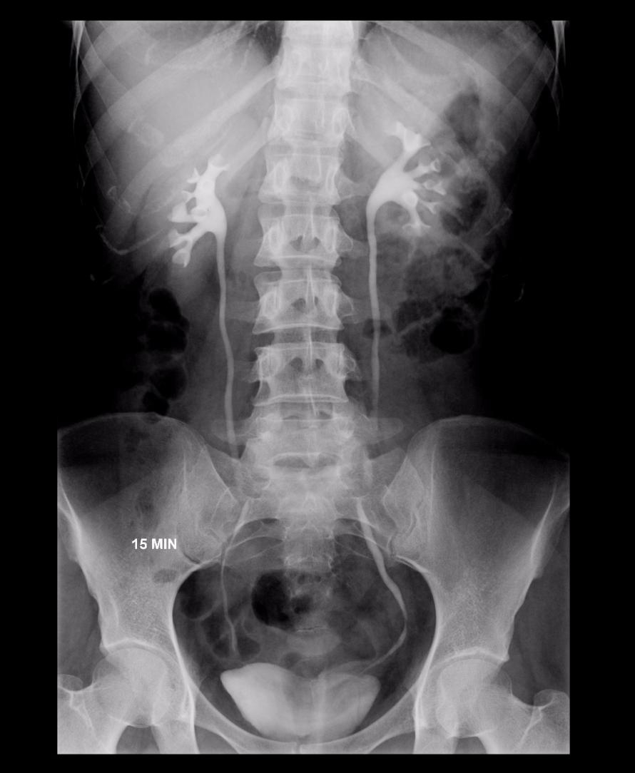
Urografia excretora

- O exame avalia os rins e as vias urinárias, através da injeção de contraste iodado por via endovenosa. O contraste é excretado pelos rins e vias urinárias chegando até a bexiga, permitindo a avaliação dos mesmos.

Uretrocistografia miccional (UCM):

- O exame é realizado utilizando contraste iodado introduzido por meio de uma sonda na bexiga. Avalia a morfologia da bexiga e da uretra e pesquisa refluxo vesicoureteral.

Cada exame acima listado necessita de um preparo específico para sua realização, o qual é informado no agendamento do mesmo.

Centro de Diagnóstico Dr. Marcos Corpa

Pré Agendamento

  • Resultado de Exames

  • Atendimento